ক্যানসার

এবার স্তন ক্যানসার নিয়ে চমকপ্রদ তথ্য দিলেন সৌদি চিকিৎসক

এবার স্তন ক্যানসার নিয়ে চমকপ্রদ তথ্য দিলেন সৌদি চিকিৎসক

কৃত্রিম বুদ্ধিমত্তা (এআই) ব্যবহার করে দ্রুততম সময়ে স্তন ক্যানসার শনাক্তে অভিনব প্রযুক্তি চালু করেছেন সৌদি আরবের চিকিৎসক সেলওয়া আল-হাজ্জা।

ক্যানসারে আক্রান্ত হয়ে মারা গেলেন বরেণ্য অভিনেত্রী

ক্যানসারে আক্রান্ত হয়ে মারা গেলেন বরেণ্য অভিনেত্রী

বিজয়া দশমীর দিন ভারতীয় বিনোদন অঙ্গনে দুঃসংবাদ। ক্যানসারে আক্রান্ত হয়ে মারা গেলেন কন্নড় ইন্ডাস্ট্রির অভিনেত্রী কমলাশ্রী। মৃত্যুকালে অভিনেত্রীর বয়স হয়েছিল ৭০ বছর। নতুন প্রজন্মের কাছে

তারেক রহমানের নির্দেশে ক্যানসার রোগীদের পাশে যুবদল

তারেক রহমানের নির্দেশে ক্যানসার রোগীদের পাশে যুবদল

বগুড়ায় বিএনপির ভারপ্রাপ্ত চেয়ারম্যান তারেক রহমানের নির্দেশে অসহায় ও দুরারোগ্য ব্যাধিতে আক্রান্ত রোগীদের পাশে দাঁড়িয়েছে বগুড়া জেলা যুবদল।

ব্লাড ক্যানসারের লক্ষণ কী কী?

ব্লাড ক্যানসারের লক্ষণ কী কী?

বিশ্বজুড়ে প্রতিবছর অসংখ্য মানুষ প্রাণ হারান ব্লাড ক্যানসার বা রক্তের ক্যানসারের কারণে। চিকিৎসার পরিভাষায় এটি হেমাটোলজিক ম্যালিগন্যান্সি নামে পরিচিত। এই রোগটি অস্থিমজ্জা থেকে উদ্ভূত এবং রক্তকণিকাগুলোকে প্রভাবিত করে এমন কিছু রোগের অন্তর্ভুক্ত। 

ইয়ারবাড কি ক্যানসারের ঝুঁকি বাড়ায়? জানুন কী বলছে বিজ্ঞান

ইয়ারবাড কি ক্যানসারের ঝুঁকি বাড়ায়? জানুন কী বলছে বিজ্ঞান

আজকাল অনেকেই ঘণ্টার পর ঘণ্টা ব্লুটুথ হেডফোন বা ওয়্যারলেস ইয়ারফোন (যেমন অ্যাপল এয়ারপডস, বোস, বিটস বা হাড়-পরিবাহী হেডফোন) কানে গুঁজে রাখেন। অনেকে আশঙ্কা করেন—এতে কি ক্যানসারের ঝুঁকি বাড়তে পারে?

ক্যানসারের ঝুঁকি কমবে যেসব ব্যায়ামে

ক্যানসারের ঝুঁকি কমবে যেসব ব্যায়ামে

ক্যানসারের ঝুঁকি কমাতে গুরুত্বপূর্ণ ভূমিকা রাখে ব্যায়াম। নিয়মিত শরীরচর্চা করলে দেহের কোষগুলোকে সুস্থ রাখতে এবং রোগ প্রতিরোধ ক্ষমতা বাড়াতে সাহায্য করে। 

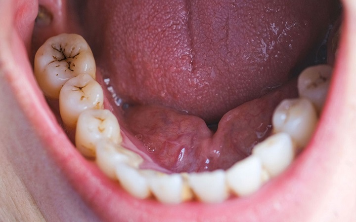
মুখে ক্যানসারের ঝুঁকি বাড়াচ্ছে দাঁতের ক্ষয়, বাঁচতে যা করবেন

মুখে ক্যানসারের ঝুঁকি বাড়াচ্ছে দাঁতের ক্ষয়, বাঁচতে যা করবেন

দাঁতের ক্ষয়কে সাধারণ সমস্যা ভাবলে ভুল হবে। এটি অবহেলা করলে বিপদ ডেকে আনতে পারে। শুধু দাঁত হারানো নয়, দাঁতের ক্ষয় থেকে হতে পারে মুখের ক্যানসারের মতো মারাত্মক রোগও।

সাধারণ এক ওষুধই রোধ করতে পারে ক্যানসারের বিস্তার

সাধারণ এক ওষুধই রোধ করতে পারে ক্যানসারের বিস্তার

কার্যকর ব্যথানাশক হিসেবে হরহামেশাই ব্যবহার হয়ে থাকে ‘অ্যাস্পিরিন’। তবে, সাধারণ এ ওষুধই ক্যানসারের বিরুদ্ধে লড়াইয়েও সহায়ক হতে পারে বলে দেখা গেছে নতুন এক গবেষণায়। বিশেষ করে কোলন ক্যানসার এবং অন্যান্য কিছু ক্যানসার প্রতিরোধের ক্ষেত্রে দারুণ কার্যকারিতা দেখিয়েছে ওষুধটি। 

ফুটবলার ঋতুপর্ণা চাকমার ক্যানসারাক্রান্ত মায়ের পাশে তারেক রহমান

ফুটবলার ঋতুপর্ণা চাকমার ক্যানসারাক্রান্ত মায়ের পাশে তারেক রহমান

বিএনপির ভারপ্রাপ্ত চেয়ারম্যান ও ‘আমরা বিএনপি পরিবারের’ প্রধান পৃষ্ঠপোষক তারেক রহমানের নির্দেশনায় ‘গোল্ডেন গার্ল’ খ্যাত ফুটবলার ঋতুপর্ণা চাকমার ক্যানসার আক্রান্ত মা ভূজোপতি চাকমার সঙ্গে সাক্ষাৎ করেছে সংগঠনটির প্রতিনিধি দল।